Our dentist examines your gums and teeth to identify signs of gum disease or inflammation.

Gum therapy focuses on treating infections and inflammation that affect the gums and supporting tissues of the teeth.
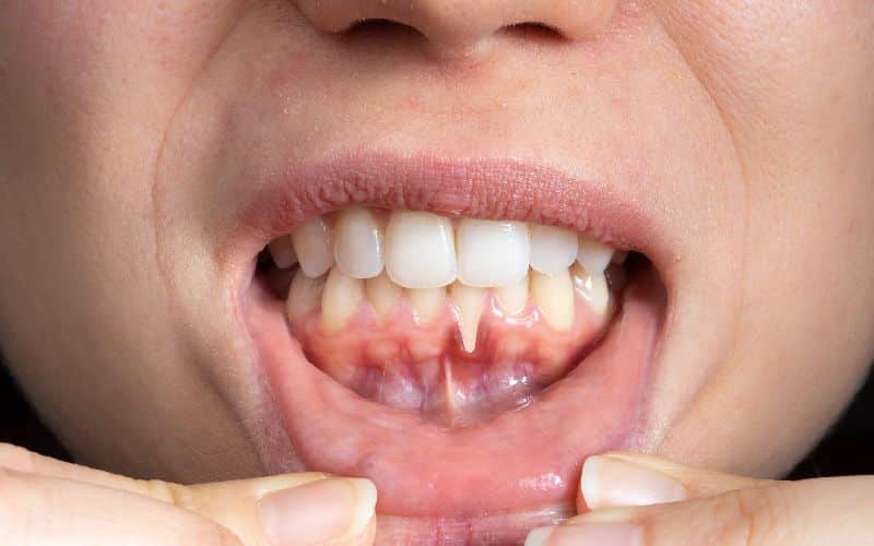
Gum disease usually begins with plaque buildup around the teeth, which can lead to symptoms such as bleeding gums, swelling, and bad breath. If not treated early, it may affect the bone that supports the teeth.
Gum therapy involves removing plaque and bacteria from around the teeth and below the gum line to help the gums heal. This treatment helps reduce inflammation and restore healthy gum tissue. Maintaining good oral hygiene and regular dental visits can prevent gum disease from returning. Healthy gums are important for maintaining strong teeth and overall oral health.
Our dentist examines your gums and teeth to identify signs of gum disease or inflammation.
Plaque and tartar are removed, and infected areas are treated to reduce inflammation and promote healing.
You receive guidance on proper brushing, flossing, and regular check-ups to maintain healthy gums.
FAQs
If you have questions, book a quick call before getting started.